Unsere Praxis ist ganzjährig ohne Unterbruch geöffnet.
Öffnungszeiten:
Montag bis Freitag 07.30 bis 12.00 / 13.00 bis 17.00 Uhr
Mittwoch und Donnerstag 7.00 bis 18.00 Uhr / Kieferorthopädie
Telefonisch erreichbar:
Montag bis Freitag 07.30 bis 12.00 / 13.00 bis 17.00 Uhr
Telefon 056 633 26 60 / info@praxisgottet.ch
Hier finden Sie uns
Praxis Gottet
Praxis für Zahnmedizin und Kieferorthopädie
Zugerstrasse 11
5620 Bremgarten
Telefon 056 633 26 60
info@praxisgottet.ch
Unser wichtigstes Argument ist das der allgemeinen Zahnmedizin.
Wir besinnen uns auf unsere Wurzeln, und das seit 1938, als Louis Gottet den Grundstock zur aktuellen Praxis legte. Heute verfolgen wir bereits in der dritten Generation ähnliche Ziele in der im Herbst 2008 von Grund auf neu konzipierten Praxis. Sie ist durchgehend rollstuhlgängig. Immer steht der Mensch, der Antwort suchende Patient im Mittelpunkt. Alle seine Fragen sollen beantwortet werden, und für jeden soll eine massgeschneiderte praktische Lösung gefunden und realisiert werden können. Vom Klein- und Schulkind über den Heranwachsenden bis zum Betagten und auch zum Menschen mit Behinderung soll ein individuelles Optimum gefunden werden.
Das Wasser, das auf drei Seiten die Praxis umspült, hilft symbolisch die Alltagsbeschwerden draussen zu lassen und sorgt für Ruhe im Inneren.
Die auf dem aktuellsten Stand der Zahnmedizin geschaffenen Räumlichkeiten mit patientenfreundlichen Apparaturen ermöglichen eine effiziente, stressarme Behandlung. Voraussetzung für jeden Eingriff ist das gemeinsame Gespräch. Sie als Patient können alle Ihre Fragen und Erwartungen einbringen.
Das A und O aber ist die Prophylaxe: Schäden vermeiden statt heilen müssen. Dazu steht Ihnen unsere Prophylaxe- und Dentalhygienikerin zu Diensten.
Ob einfache konservierende und prothetische oder komplizierte totale Rekonstruktionen und operative Eingriffe, unsere Praxis bietet alle Therapiemöglichkeiten an, inklusive Kieferorthopädie. Das Geheimnis der Langlebigkeit einer Praxis ist die Suche nach Augenhöhe, die Partnerschaft. Sie als Patient und wir als Praktiker tragen gemeinsam als Team zum guten Gelingen unser Mögliches bei.
Der revidierte Tarif Dentotar ersetzt nach 24 Jahren den alten Tarif 94 und tritt auf den 1. Januar 2018 in Kraft.
Die Schweizerische Zahnärzte-Gesellschaft SSO ordnet jeder zahnärztlichen Leistung eine bestimmte Punktezahl zu. Dieser Punktwert wird mit dem Taxpunktwert multipliziert, so ergibt sich der Betrag in Franken.
In unserer Praxis beträgt der Taxpunktwert Fr. 1.10
Die Schweizerische Zahnärzte-Gesellschaft SSO und ihre Tarifpartner der Unfall- (UV), der Militär- (MV) und der Invalidenversicherung (IV) haben am 3. Mai 2017, in Bern den revidierten Zahnarzttarif unterzeichnet. Für Patienten und Versicherer wird damit die Abrechnung transparenter. Der revidierte Tarif beinhaltet nun Tarifziffern, welche den Leistungskatalog der modernen Zahnmedizin korrekt abbilden. Das Kostenmodell der Tarifstruktur wurde ebenso aktualisiert und der betriebswirtschaftlichen Realität einer heutigen Zahnarztpraxis angepasst.
Sie werden von uns in einer der modernsten und schönsten Praxen der Schweiz behandelt. Unsere Praxis wurde auf Grund aktuellster zahnmedizinischer Erkenntnisse konzipiert und erbaut und dies ganz im Sinne einer Zahnmedizin, in der der Patient im Zentrum steht. Unser Ziel ist es, Sie mit modernen und bewährten Therapiemethoden zu behandeln. Dabei bieten wir Ihnen das ganze Spektrum der Zahnmedizin auf hohem Niveau an.
Die ganze Praxis ist behindertengerecht, rollstuhlgängig, inklusive WC-Bereich, und erlaubt so auch die Behandlung von Patienten mit physischer oder mentaler Mehrfachbehinderung.
3D Röntgentechnik:
Wir können für Sie 3D Röntgenbilder anfertigen, was uns eine noch genaure Diagnostik ermöglicht und Ihnen unnötige Behandlungen und somit Kosten einsparen hilft.
Laser:
LiteTouch III Er: YAG Laser / Spectra DENTA 2 CO₂-Laser / Wiser Diodenlaser / MED-701 Softlaser.
Lasertechnologie stellt eine vorteilhafte Ergänzung klassischer Behandlungsmethoden dar.
Damit können einige Therapien effektiver, gewebeschonender und für Patienten angenehmer und oftmals völlig schmerzfrei durchgeführt werden.
Zum Beispiel entfernt der Laser Bakterien, Viren und Pilze besonders gründlich und selbst an Stellen, die mit anderen Instrumenten nicht erreicht werden können. Die hohe Keimreduktion ist entscheidend für den Erfolg vieler Behandlungen.
Das individuelle Optimum:
Wichtig ist uns dabei, Sie ausführlich über verschiedene Behandlungsmöglichkeiten, Behandlungsdauer, individuelles Risiko und Kosten zu beraten. Das ermöglicht es – im gemeinsamen Dialog – eine für Sie massgeschneiderte Lösung zu finden.
Stand: 20. September 2023
Verantwortlicher
Dr. med. dent. Yves Gottet
Praxis Gottet – Praxis für Zahnmedizin und Kieferorthopädie
Zugerstrasse 11
5620 Bremgarten
Tel. 056 633 26 60
info@praxisgottet.ch
Übersicht der Verarbeitungen
Die nachfolgende Übersicht fasst die Arten der verarbeiteten Daten und die Zwecke ihrer Verarbeitung zusammen und verweist auf die betroffenen Personen.
Maßgebliche Rechtsgrundlagen
Maßgebliche Rechtsgrundlagen nach dem Schweizer Datenschutzgesetz: Wenn Sie sich in der Schweiz befinden, bearbeiten wir Ihre Daten auf Grundlage des Bundesgesetzes über den Datenschutz (kurz «Schweizer DSG»). Dies gilt auch, wenn unsere Bearbeitung Ihrer Daten Sie sonst in der Schweiz betrifft und Sie von der Bearbeitung betroffen sind. Das Schweizer DSG sieht grundsätzlich nicht vor (anders als beispielsweise die DSGVO), dass eine Rechtsgrundlage für die Bearbeitung der Personendaten genannt werden muss. Wir bearbeiten Personendaten nur dann, wenn die Bearbeitung rechtmäßig ist, nach Treu und Glauben durchgeführt wird und verhältnismäßig ist (Art. 6 Abs. 1 und 2 des Schweizer DSG). Ferner werden Personendaten von uns nur zu einem bestimmten und für die betroffene Person erkennbaren Zwecken beschafft und nur so bearbeitet, dass es mit diesen Zwecken vereinbar ist (Art. 6 Abs. 3 des Schweizer DSG).
Sicherheitsmaßnahmen
Wir treffen nach Maßgabe der gesetzlichen Vorgaben unter Berücksichtigung des Stands der Technik, der Implementierungskosten und der Art, des Umfangs, der Umstände und der Zwecke der Verarbeitung sowie der unterschiedlichen Eintrittswahrscheinlichkeiten und des Ausmaßes der Bedrohung der Rechte und Freiheiten natürlicher Personen geeignete technische und organisatorische Maßnahmen, um ein dem Risiko angemessenes Schutzniveau zu gewährleisten.
Zu den Maßnahmen gehören insbesondere die Sicherung der Vertraulichkeit, Integrität und Verfügbarkeit von Daten durch Kontrolle des physischen und elektronischen Zugangs zu den Daten als auch des sie betreffenden Zugriffs, der Eingabe, der Weitergabe, der Sicherung der Verfügbarkeit und ihrer Trennung. Des Weiteren haben wir Verfahren eingerichtet, die eine Wahrnehmung von Betroffenenrechten, die Löschung von Daten und Reaktionen auf die Gefährdung der Daten gewährleisten. Ferner berücksichtigen wir den Schutz personenbezogener Daten bereits bei der Entwicklung bzw. Auswahl von Hardware, Software sowie Verfahren entsprechend dem Prinzip des Datenschutzes, durch Technikgestaltung und durch datenschutzfreundliche Voreinstellungen.
TLS/SSL-Verschlüsselung (https): Um die Daten der Benutzer, die über unsere Online-Dienste übertragen werden, zu schützen, verwenden wir TLS/SSL-Verschlüsselung. Secure Sockets Layer (SSL) ist die Standardtechnologie zur Sicherung von Internetverbindungen durch Verschlüsselung der zwischen einer Website oder App und einem Browser (oder zwischen zwei Servern) übertragenen Daten. Transport Layer Security (TLS) ist eine aktualisierte und sicherere Version von SSL. Hyper Text Transfer Protocol Secure (HTTPS) wird in der URL angezeigt, wenn eine Website durch ein SSL/TLS-Zertifikat gesichert ist.
Übermittlung von personenbezogenen Daten
Im Rahmen unserer Verarbeitung von personenbezogenen Daten kommt es vor, dass die Daten an andere Stellen, Unternehmen, rechtlich selbstständige Organisationseinheiten oder Personen übermittelt oder sie ihnen gegenüber offengelegt werden. Zu den Empfängern dieser Daten können z. B. mit IT-Aufgaben beauftragte Dienstleister oder Anbieter von Diensten und Inhalten, die in eine Webseite eingebunden werden, gehören. In solchen Fällen beachten wir die gesetzlichen Vorgaben und schließen insbesondere entsprechende Verträge bzw. Vereinbarungen, die dem Schutz Ihrer Daten dienen, mit den Empfängern Ihrer Daten ab.
Internationale Datentransfers
Bekanntgabe von Personendaten ins Ausland: Gemäß dem Schweizer Datenschutzgesetz (DSG) geben wir personenbezogene Daten nur dann ins Ausland bekannt, wenn ein angemessener Schutz der betroffenen Personen gewährleistet ist (Art. 16 Schweizer DSG). Sofern der Bundesrat keinen angemessenen Schutz festgestellt hat (Liste: https://www.bj.admin.ch/bj/de/home/staat/datenschutz/internationales/anerkennung-staaten.html), ergreifen wir alternative Sicherheitsmaßnahmen. Diese können internationale Verträge, spezifische Garantien, Datenschutzklauseln in Verträgen, von der Eidgenössischen Datenschutz- und Öffentlichkeitsbeauftragten (EDÖB) genehmigte Standarddatenschutzklauseln oder von EDÖB oder einer zuständigen Datenschutzbehörde eines anderen Landes vorab anerkannte unternehmensinterne Datenschutzvorschriften umfassen.
Laut Art. 16 des Schweizer DSG können Ausnahmen für die Bekanntgabe von Daten ins Ausland zugelassen werden, wenn bestimmte Bedingungen erfüllt sind, einschließlich Einwilligung der betroffenen Person, Vertragsabwicklung, öffentliches Interesse, Schutz von Leben oder körperlicher Unversehrtheit, öffentlich gemachte Daten oder Daten aus einem gesetzlich vorgesehenen Register. Diese Bekanntgaben erfolgen stets im Einklang mit den gesetzlichen Anforderungen.
Löschung von Daten
Die von uns verarbeiteten Daten werden nach Maßgabe der gesetzlichen Vorgaben gelöscht, sobald deren zur Verarbeitung erlaubten Einwilligungen widerrufen werden oder sonstige Erlaubnisse entfallen (z. B. wenn der Zweck der Verarbeitung dieser Daten entfallen ist oder sie für den Zweck nicht erforderlich sind). Sofern die Daten nicht gelöscht werden, weil sie für andere und gesetzlich zulässige Zwecke erforderlich sind, wird deren Verarbeitung auf diese Zwecke beschränkt. D. h., die Daten werden gesperrt und nicht für andere Zwecke verarbeitet. Das gilt z. B. für Daten, die aus handels- oder steuerrechtlichen Gründen aufbewahrt werden müssen oder deren Speicherung zur Geltendmachung, Ausübung oder Verteidigung von Rechtsansprüchen oder zum Schutz der Rechte einer anderen natürlichen oder juristischen Person erforderlich ist. Unsere Datenschutzhinweise können ferner weitere Angaben zu der Aufbewahrung und Löschung von Daten beinhalten, die für die jeweiligen Verarbeitungen vorrangig gelten.
Rechte der betroffenen Personen
Rechte der betroffenen Personen nach dem Schweizer DSG:
Ihnen stehen als betroffene Person nach Maßgabe der Vorgaben des Schweizer DSG die folgenden Rechte zu:
- Recht auf Auskunft: Sie haben das Recht, eine Bestätigung darüber zu verlangen, ob Sie betreffende Personendaten verarbeitet werden, und auf Erhalt derjenigen Informationen, die erforderlich sind, damit Sie Ihre Rechte nach diesem Gesetz geltend machen können und eine transparente Datenbearbeitung gewährleistet ist.
- Recht auf Datenherausgabe oder -übertragung: Sie haben das Recht, die Herausgabe Ihrer Personendaten, die Sie uns bekanntgegeben haben, in einem gängigen elektronischen Format zu verlangen.
- Recht auf Berichtigung: Sie haben das Recht, die Berichtigung der Sie betreffenden unrichtigen Personendaten zu verlangen.
- Recht auf Widerspruch, Löschung und Vernichtung: Sie haben das Recht, der Verarbeitung Ihrer Daten zu widersprechen, sowie zu verlangen, dass die Sie betreffenden Personendaten gelöscht oder vernichtet werden.
Änderung und Aktualisierung der Datenschutzerklärung
Wir bitten Sie, sich regelmäßig über den Inhalt unserer Datenschutzerklärung zu informieren. Wir passen die Datenschutzerklärung an, sobald die Änderungen der von uns durchgeführten Datenverarbeitungen dies erforderlich machen. Wir informieren Sie, sobald durch die Änderungen eine Mitwirkungshandlung Ihrerseits (z. B. Einwilligung) oder eine sonstige individuelle Benachrichtigung erforderlich wird.
Sofern wir in dieser Datenschutzerklärung Adressen und Kontaktinformationen von Unternehmen und Organisationen angeben, bitten wir zu beachten, dass die Adressen sich über die Zeit ändern können und bitten die Angaben vor Kontaktaufnahme zu prüfen.
Begriffsdefinitionen
In diesem Abschnitt erhalten Sie eine Übersicht über die in dieser Datenschutzerklärung verwendeten Begrifflichkeiten. Soweit die Begrifflichkeiten gesetzlich definiert sind, gelten deren gesetzliche Definitionen. Die nachfolgenden Erläuterungen sollen dagegen vor allem dem Verständnis dienen.
- Personenbezogene Daten: «Personenbezogene Daten» sind alle Informationen, die sich auf eine identifizierte oder identifizierbare natürliche Person (im Folgenden «betroffene Person») beziehen; als identifizierbar wird eine natürliche Person angesehen, die direkt oder indirekt, insbesondere mittels Zuordnung zu einer Kennung wie einem Namen, zu einer Kennnummer, zu Standortdaten, zu einer Online-Kennung (z. B. Cookie) oder zu einem oder mehreren besonderen Merkmalen identifiziert werden kann, die Ausdruck der physischen, physiologischen, genetischen, psychischen, wirtschaftlichen, kulturellen oder sozialen Identität dieser natürlichen Person sind.
- Verantwortlicher: Als «Verantwortlicher» wird die natürliche oder juristische Person, Behörde, Einrichtung oder andere Stelle, die allein oder gemeinsam mit anderen über die Zwecke und Mittel der Verarbeitung von personenbezogenen Daten entscheidet, bezeichnet.
- Verarbeitung: «Verarbeitung» ist jeder mit oder ohne Hilfe automatisierter Verfahren ausgeführte Vorgang oder jede solche Vorgangsreihe im Zusammenhang mit personenbezogenen Daten. Der Begriff reicht weit und umfasst praktisch jeden Umgang mit Daten, sei es das Erheben, das Auswerten, das Speichern, das Übermitteln oder das Löschen.
Erstellt mit kostenlosem Datenschutz-Generator.de von Dr. Thomas Schwenke
Yves Gottet
Eidg. dipl. Zahnarzt- Primarschule in Allschwil (1981-1986)
- Progymnasium an der Sekundarschule Allschwil (1986-1990)
- Mathematisch-Naturwissenschaftliches-Gymnasium Basel (1990-1994)
- Studium der Zahnmedizin an der Universität Basel (1994-2000)
- Staatsexamen an der Universität Basel (10/2000)
- Tätigkeit in der Privatpraxis von Dr. med. dent St. Howald in Allschwil (2000-2001)
- Tätigkeit in der Privatpraxis von Dr. med. dent N. Futterknecht in Arlesheim (2001-2005)
- Promovierung zum Dr. med. dent. an der Universität Zürich (2005-2007)
- Zahnarzt in Bremgarten (Seit 2006)
Mitgliedschaften:
SSO Schweizerische Zahnärzte-Gesellschaft
ZGA Zahnärzte Gesellschaft des Kantons Aargau
SGI Schweizerische Gesellschaft für Implatologie
SGZBB Schweizerische Gesellschaft für die zahnmedizinische Betreuung Behinderter und Betagter
Muriel Gottet
Eidg. dipl. Zahnärztin- Primarschule und Bezirksschule in Bremgarten (1983-1992)
- Kantonsschule in Wohlen, Typus B (1992-1996)
- Studium der Zahnmedizin an der Universität Fribourg und Basel (1996-2002)
- Staatsexamen (2002)
- Allgemeine Zahnmedizin und Kieferorthopädie in der Privatpraxis (2002-2005)
- Promovierung zu Dr. med. dent. an der Universität Zürich (2004)
- Spezialisierungsprogramm in Kieferorthopädie der Universität Zürich, Prof. Dr. T. Peltomäki (2005-2008)
- Kieferorthopädin in der Praxis Gottet (Seit 2008)
- Spezialistentitel Fachzahnarzt für Kieferorthopädie, CH (2009)
Mitgliedschaften:
SSO Schweizerische Zahnärzte-Gesellschaft
ZGA Zahnärzte Gesellschaft des Kantons Aargau
SGK Schweizerische Gesellschaft für Kiefeorthopädie
SGZBB Schweizerische Gesellschaft für die zahnmedizinische Betreuung Behinderter und Betagter
Sergej Nekora
Eidg. dipl. Zahnarzt- Primarschule in Therwil (1973–1978)
- Progymnasium an der Sekundarschule Therwil (1978–1983)
- Mathematisch-Naturwissenschaftliches-Gymnasium Oberwil (1983–1986)
- Eidgenössische Maturitätsprüfung (9/1986)
- Studium der Zahnmedizin an der Universität Basel (1986–1991)
- Staatsexamen an der Universität Basel (11/1991)
- Tätigkeit in der öffentlichen Zahnklinik Basel (1992–1996)
- Tätigkeit in eigener Praxis in Zofingen (1996–2011)
- Promovierung zum Dr. med. dent. an der Universität Basel (8/2002)
- Tätigkeit in der Privatpraxis von Dr. med. dent. P. Suter In Beromünster (2011)
- Zahnarzt in Bremgarten (Seit 2012)
Christian Eng
Eidg. dipl. Zahnarzt- Primar- und Bezirksschule in Aarburg (1983-1992)
- Kantonsschule in Olten, Typus E (1992-1993)
- Austauschjahr Springfield, OR, US (1993-1994)
- Kantonsschule in Aarau, Typus C (1994-1997)
- Praktikum als Polymechaniker Franke Aarburg (1997-1998)
- Maschinenbaustudium mit Abschluss, FH NW Brugg Windisch (1999-2002)
- Psychologiestudium mit Abschluss (Master) an der Universität Bern (2005-2010)
- Studium der Zahnmedizin an der Universität Fribourg und Bern (2013-2018), Staatsexamen 2018
- Tätigkeit in der Privatpraxis von Dr. med., Dr. med. dent. St. Pintus in Thusis (GR) (2019-2023)
- Tätigkeit im Zahnarztzentrum Thun (2024)
Elif Dogan
Eidg. dipl. Zahnärztin- Primar- und Bezirksschule in Nussbaumen (2003-2013)
- Kantonsschule in Wettingen (2013-2017)
- Studium der Zahnmedizin an der Universität Basel (2018-2023)
- Staatsexamen an der Universität Basel (2023)
- Zahnärztin in Bremgarten seit 2024
Anouk Rischik
Odesa Mazreku
Violeta Marjanovic
Serena Wegmueller
Sonja Cekic
Mina Vijorovic
Patrizia Cakir
Arbenita Gashi
Caterina Mosca
Jessica Delmonte
Rrahmani Blerta
Eine Zahnbehandlung hat eine möglichst schmerzfreie
und dauerhafte Lösung eines Problems zum Ziel. Allfällige Eingriffe sollen schonend und behutsam durchgeführt werden und das
Wohlbefinden der Patientin, des Patienten so wenig wie möglich beeinträchtigen, im Gegenteil sogar verbessern helfen.
Sie werden betreut durch die Zahnärzte:
Dr. med . dent. Yves-Lucien Gottet
Dr. med. dent. Sergej Nekora
Dr. med. dent. Christian Eng
Dr. med. dent. Elif Dogan
Fachgebiete:
Kieferorthopädie
Dentalhygiene / Prophlaxe
Kariesbehandlung
Zahnfleischbehandlung (Parodontologie)
Wurzelbehandlung (Endodontologie)
Implantate (Implantologie)
Prothetik
Kinderzahnmedizin
Kieferchirurgie
Weisheitszahn-Behandlung
Keramik-Verblendung
Keramik Füllungen
Komposit Füllungen
Vollkeramikkronen und -Brücken
Amalgam-Entfernung
Bleaching / Power-Bleaching
Zahnschmuck
Mundgeruch-Sprechstunde
Oralphobie-Behandlung
Zahntechnisches Labor
Sie werden betreut durch:
Dr. med. dent. Muriel Gottet
Fachzahnärztin für Kieferorthopädie (CH)
Die Therapie von Zahn- und Kieferfehlstellungen muss bei Erwachsenen und Kindern individuell anhand von Unterlagen (Fotos, Modelle, Röntgenbilder) geplant werden. Erst nach genauer Analyse und Planung kann dann eine detaillierte Besprechung erfolgen. Diese Seite soll Ihnen anhand von einigen Fallbeispielen die Kieferorthopädie näher bringen. Für weitere Informationen zur Kieferorthopädie oder zur Spezialisierung in der Schweiz empfehle ich ihnen die Seite der Schweizerischen Gesellschaft für Kieferorthopädie.
Beispiele:
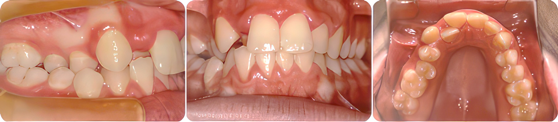
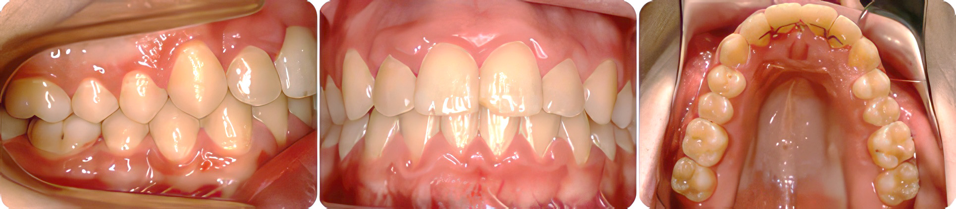
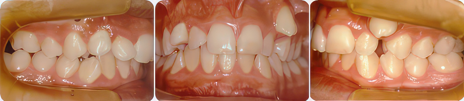
Kreuzbiss bei einem 13 jährigen Mädchen, korrigiert mit einer forcierten Dehnapparatur und anschliessend einer vollfixen Apparatur im Oberkiefer und Unterkiefer.
Ausgangslage:

Schlussresultat:

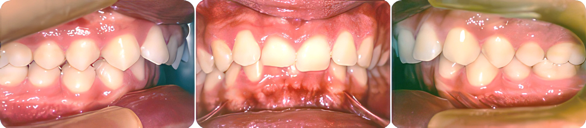
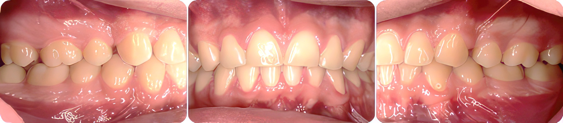
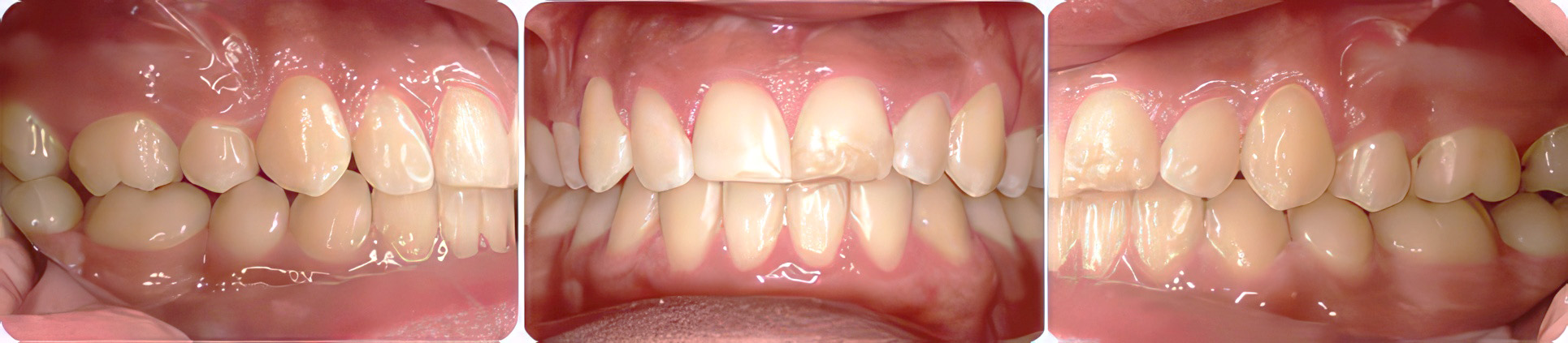
Starker Tiefbiss mit zurückliegendem Unterkiefer.
Korrektur mit Extraktion von 3 Prämolaren, Gaumenimplantat und vollfixer Apparatur im Oberkiefer und Unterkiefer.
Ausgangslage:

Schlussresultat:

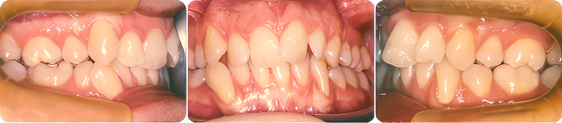
Rechts im Oberkiefer ist der bleibender Eckzahn retiniert und links ist er hochstehend.
Im Unterkiefer besteht Engstand.
Korrektur mit Anschlingung des Eckzahnes, Extraktion von vier Prämolaren und anschliessender vollfixer Apparatur im Oberkiefer und Unterkiefer.
Ausgangslage:

Schlussresultat:

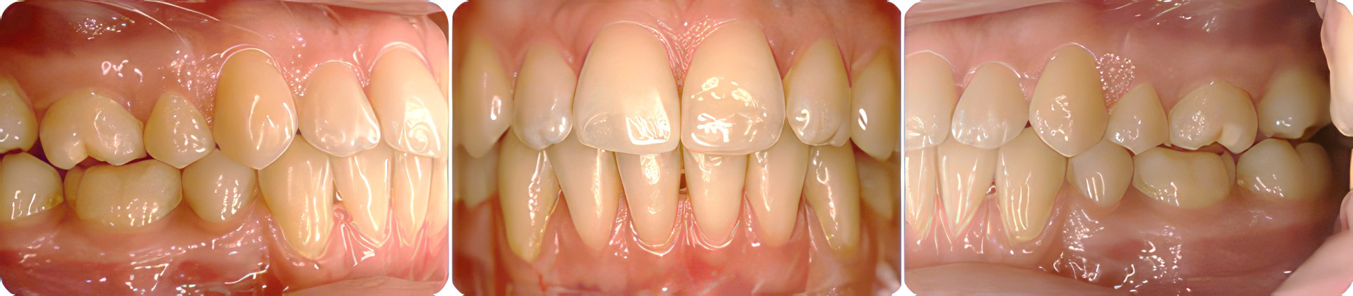
Engstand im Oberkiefer und Unterkiefer bei einer erwachsenen Patientin, trotz der Extraktion von vier Prämolaren mit 14 Jahren.
Korrektur: Das Ausmass des Engstandes erlaubte es nicht eine rein kieferorthopädische Therapie durchzuführen. Wir mussten neben einer vollfixen Apparatur im Oberkiefer und Unterkiefer eine Frontsegmentdistraktion durch einen Kieferchirurgen durchführen lassen.
Ausgangslage:

Schlussresultat:

Praxis Gottet
Praxis für Zahnmedizin und
Kieferorthopädie
Zugerstrasse 11
5620 Bremgarten
Tel. 056 633 26 60
info@praxisgottet.ch
Bei Anfragen per Mail bitte Kontaktdaten angeben.
Wir werden uns so schnell wie möglich um Ihre Anfrage kümmern.
Öffnungszeiten:
Montag bis Freitag 07.30 bis 12.00 / 13.00 bis 17.00 Uhr
Mittwoch und Donnerstag 7.00 bis 18.00 Uhr / Kieferorthopädie
Telefonisch erreichbar:
Montag bis Freitag 07.30 bis 12.00 / 13.00 bis 17.00 Uhr
Von Montag bis Freitag
07.30 bis 12.00 / 13.00 bis 17.00 Uhr unter der Telefonnummer
056 633 26 60
Für dringende Notfälle
ausserhalb der Öffnungszeiten:
0848 261 261
aktueller Notfallzahnarzt SSO für den Kanton Aargau (Freiamt)
Leitfaden für richtiges Verhalten bei Zahnunfällen
Notfall Milchzähne (PDF)
Notfall Bleibende Zähne (PDF)